Each of us at least once in my life heard such a term as stomatitis (picture 1), but not everyone knows about its main types and forms (such as, angular, aphthous, herpetic, gingivostomatitis) that we consider further.

What is stomatitis pictures
Inflammation of the oral mucosa is called stomatitis (picture 1). What is it and why does this disease occur? The cause of the pathological process can be a variety of infectious agents, and it can provoke a decrease in the immune system, poor nutrition, stress, injuries to the oral cavity.
Alcohol abuse and Smoking also lead to irritation of the oral mucosa. There are so-called concomitant diseases: gastritis, enterocolitis, colitis, worm infestations, anemia. Stomatitis often affects people with AIDS.
Having understood what stomatitis is and what can provoke it, you can come to the conclusion how to avoid it. Do not be amiss to know that there are the following types of stomatitis:
- angular;
- aphthous;
- herpetic;
- gingivostomatitis;

Angular stomatitis pictures
Angular stomatitis (picture 2) – inflammation of the oral mucosa without ulcers and other defects. The reason is the lack of hygiene of the oral cavity, can be a symptom of diseases of the gastrointestinal tract, endocrine diseases and pathologies of the circulatory system.
Angular stomatitis is accompanied by swelling and hyperemia of the oral mucosa, whitish plaque, soreness, unpleasant odor, increased production of saliva, deterioration of health.

Aphthous stomatitis pictures
Aphthous stomatitis (picture 3) is accompanied by the appearance in the mouth of the so-called aft or erosion. This process is very unpleasant, patients experience a characteristic burning sensation. The disease can also complicate meal.
May experience hyperthermia and local lymphoedema. Not treated thrush can become chronic. Read more in the article about aphthous stomatitis on our website.

Herpetic stomatitis pictures
Herpetic stomatitis (picture 4) is caused by a virus of simple herpes. Blisters appear on the mucous membrane of the oral cavity, which are very painful. The disease begins acutely the weakening of immune forces of an organism. In addition to unpleasant sensations of a local nature, symptoms of General malaise of the body are manifested: body temperature rises, weakness, drowsiness, headache appears.
Blisters after some time burst, of which flows turbid contents. In the absence of timely treatment, chronic herpetic stomatitis (photos at the bottom) can begin.

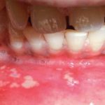
Gingivostomatitis pictures
Gingivostomatitis is caused by Candida fungi. Most often, herpetic gingivostomatitis (picture 5) affects children, people with a weak immune system, as well as the elderly. If a person has a strong immune system, and the microflora is balanced, the fungi of this species can exist in the body without causing any pathological processes.
But if for some reason the immune system is weakened, the mushrooms begin to multiply strongly, which can cause gingivostomatitis. The disease is characterized by the appearance of a whitish plaque in the mouth, which subsequently increases, and then, if you try to remove it, a bright red inflammatory surface appears.

Stomatitis pictures mouth
Stomatitis in the mouth (picture 6) in children occurs most often. This contributes to the child’s fragile immune system. Treatment of stomatitis in children is the most difficult, as it is not always possible to convince the child to do all the necessary procedures.
Stomatitis in children who do not yet speak can be detected late, as they can not explain what worries them. Read more about stomatitis in children on our website.

Denture stomatitis images
Currently, denture stomatitis (image 7) is not such a rare phenomenon. Previously, this disease affected adults infrequently. But now stomatitis in adults is a common thing. Lead to disease can weakening of immune system, various concomitant pathological processes in body, the wrong nutrition, stress.

Stomatitis in toddler pictures
Children who are breastfed very often suffer from stomatitis. Constant intake of milk contributes to the emergence of a special environment in the oral cavity, which can cause gingivostomatitis in toddler (picture 8).
The process in these kids is especially painful, as sometimes makes it impossible to suck. Stomatitis in toddler occurs most often when non-compliance with the rules of hygiene of breastfeeding. Before you feed the baby, the Breasts should be washed with soap.
How to treat stomatitis
About how to treat stomatitis, of course, everyone thinks who was struck by this unpleasant disease. When the first symptoms of stomatitis appear, you should consult a specialist.
Most often used for the treatment of rinsing with soda solution. Dissolve one and a half spoons (tea) in warm water. Rinse often, almost every two hours. Assign antiseptics for each type of stomatitis, which are used locally. Sometimes you need the appointment of antibacterial drugs, Immunostimulants, vitamins. Sometimes there is a need for a complex physiotherapy.
Any, at first glance, harmless drug has a number of contraindications and side effects, therefore, the question of how to treat stomatitis, should be asked only to the doctor.





